好看的牙齿千篇一律,糟心的智齿千奇百怪。一颗颗在口腔内“肆意疯长”的智齿所带来的影响,不仅仅是疼痛那么简单,有些时候,它会不声不响地“吃掉”你健康的牙齿!

横着长、侧着长,就是不竖着好好长的智齿
疼痛,是大多数人下定决心拔除智齿的原因,但如果你的智齿活得“岁月静好”,还需不需要拔除呢?今天,陕西省核工业二一五医院口腔科专家们将通过近期2例智齿引发“邻牙拔除”的患者病例,告诉大家什么是智齿,以及什么样的智齿建议大家拔除。
病例1——我的智齿,竟然吃掉了我的牙根!
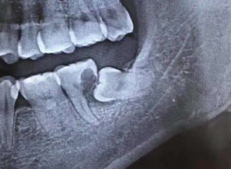
患者张先生2个月前突然发现,自己下颌左侧牙齿,遇凉、热都会剧烈疼痛,甚至不敢用左侧牙齿吃东西,在某口腔门诊钻开牙齿,反复换药治疗几次后仍未见缓解,才想着到大医院看一看。二一五医院口腔科接诊后发现,患者口内下颌最后一颗牙齿上有溢出的白色充填材料,而这颗患牙在几次不当治疗后,已经明显松动,且咬合时剧烈疼痛,患者自述在前期治疗过程中没拍X线片明确病情,接诊医师随即为他安排了口腔CT拍摄。CT发现,在这“摇摇欲坠”的牙齿下,还悄悄隐藏着一颗倾斜的智齿,而这颗智齿,已经几乎“吃光了”它侧方“松动”牙齿的牙根,这才是导致张先生牙疼反复治疗无效的根本原因!
病例2——天天刷牙,智齿却藏着我2周前吃过的食物!
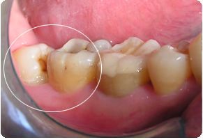
第二位患者同样姓张,但他在25岁的年纪,却已经被智齿疼痛折磨了2年多了。小张自述,自己的智齿疼,并不是“疼起来要人命”的那种,所以才一拖再拖。但近期,小张的下颌右侧牙龈反复长脓包,因担心病变扩大,才终于鼓足勇气走进了口腔科。医师在检查小张口内情况时看到,该患者下颌右侧第二磨牙牙冠表面完整,但在颊侧牙龈位置处,可见约5mm直径的脓包,脓包下,一颗牙冠倾斜部分微微露出的智齿隐约可见,而这两颗牙齿之间,竟有着大量嵌塞的食物,已然形成龋洞!并且第二磨牙周围骨质被破坏严重,牙齿已经是“悬浮”在牙槽窝内,这颗看似完整的牙齿因为智齿给予的阻力和龋洞的存在,其实已经不具有保留价值了,只能和智齿一起被连根拔除。
大张和小张,皆因智齿最终导致邻牙被连同拔除,那到底什么是智齿呢?
智齿是随着人类进化,颌骨发育逐渐退化,出现颌骨骨量小于牙量的情况,即口内骨量容纳不下牙量的情况,这些无法容纳而被迫部分萌出或完全不能萌出,且以后也不会自行萌出的牙齿,我们称其为阻生齿,而发生在第三磨牙位置的阻生齿我们俗称“智齿”,通常在16-20岁左右萌出,对于已完全萌出并建立良好咬合和邻接关系的智齿我们就不需要拔除。
那么什么样的智齿需要拔除呢?
1.反复引起周围牙龈发炎肿痛者。

2.位置异常无咬合功能,如近中倾斜、合向伸长、颊侧异位等。

3. 与邻牙邻接不良,食物嵌塞导致邻牙龋坏、牙髓炎病变。

4.因压迫导致邻牙牙根或远中骨吸收。

5.已引起含牙囊肿或肿瘤。

智齿该不该拔除,切莫将疼痛作为唯一标准,疼痛往往预示着病灶已经发展,往往会波及健康的牙齿,所以科学、及时的诊断才是决定智齿“去”与“留”的关键!