“医生,快救救她!”急促的呼救声瞬间划破妇科急诊的宁静,气氛瞬间凝固——轮椅上的女子脸色惨白如纸、下身衣物已被涌出的鲜血完全浸透、暗红的血珠不断滴落,意识逐渐涣散,生命危在旦夕......

几天前,来自乾县的蒙女士被紧急送至陕西省核工业二一五医院妇科急诊。当时的她,面色苍白如纸,冷汗已浸湿衣衫,每一次呼吸都显得急促而费力。这一切,都源于蒙女士一个月前接受的药物流产加清宫手术,术后复查时发现宫腔内仍有组织残留。当地医院为她进行了为期10天的药物保守治疗。然而,就在停药后不久,她突然出现剧烈腹痛并伴有大量阴道出血,情况急转直下。B超提示宫腔内残留组织伴有异常丰富的血流信号,血HCG指标也高达490mIU/ml,情况危急,建议立即转入上级医院救治。

我院妇科任晓红主任团队刚接诊后,就发现蒙女士已处于失血性休克前期状态,血红蛋白持续下降,半小时内出血量就达到约400ml——相当于一整瓶矿泉水的量。“必须先稳住生命体征,再查清楚出血根源!”团队当机立断,一边开放静脉通路、快速补液、给氧稳住生命体征,并借助缩宫、止血药物与抗炎治疗暂时控制出血;一边火速协调检验科、超声科、影像科开启“绿色通道”。


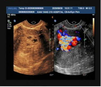
术前检查影像
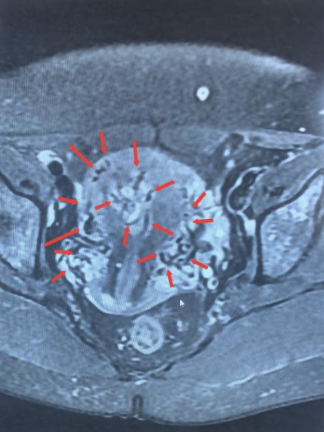
检查结果很快传来,B超结果显示宫腔内残留组织伴丰富血流,高度怀疑“子宫动静脉瘘”;随后的MRI检查进一步证实,患者宫腔内不仅有异常病灶,邻近子宫前壁还出现多发流空信号——这意味着子宫动脉与静脉之间形成了异常通道,动脉血直接涌入静脉,一旦通道破裂,就可能引发难以控制的致命性大出血。

子宫动静脉瘘示意图
面对这一棘手难题,妇科任晓红主任团队迅速组织讨论,摆在他们面前的有三条路径,直接清宫,风险巨大!药物保守治疗后清宫,等待期间仍可能发生大出血!第三种方案,是先行子宫动脉栓塞术阻断异常血流,再行清宫手术,虽费用较高,但创伤小、起效快,最重要的!是可以最大程度保住蒙女士的子宫!
经过全面评估并与家属深入沟通后,团队最终决定采用第三种方案,介入科张峰主任团队接到协作消息后迅速响应赶往手术室,通过股动脉穿刺,将导管精准送达子宫动脉,注入适量栓塞剂,有效阻断了供应病灶的异常血流。栓塞术后,患者阴道出血基本停止,腹痛明显缓解。
三天后,妇科团队在宫腔镜下顺利清除了残留组织,由于前期栓塞术阻断了异常血流,整个手术过程几乎零出血。术后复查蒙女士的血HCG持续下降,身体各项指标逐渐恢复正常。
这场救援的成功,不仅是对二一五医院医疗技术的考验,更彰显了跨科室协作的“战斗力”。对于子宫动静脉瘘患者来说,这次救治也提供了更优的治疗思路——通过“栓塞术+宫腔镜清宫”的联合方案,既可以解决出血根源,又能为患者保留子宫,带来新的希望。未来,医院还将继续优化跨科协作机制,用更先进的技术、更高效的救治,守护更多患者的生命健康。