

10月的一天,二一五医院内镜科患者王阿姨将写有“医术高明,温暖贴心”的锦旗送给内镜科张召医生,这既有对张医生医术的肯定,也是对富有人情味的诊疗过程的感谢。 今年9月,王阿姨计划进行普通肠镜检查及治疗,因为...

为进一步增强中陕核办公大楼全体职工的消防安全意识,切实提高职工安全自救能力和自我保护能力,11月9日下午,由中陕核工业集团有限公司安全环保部主办、中陕核置业公司集团总部物业办协办举行以“抓消防安全,保高质...

11月9日下午,健康产业公司与陕西世龙建设工程有限公司(以下简称“世龙建设公司”)战略性合作签约仪式在健康产业公司圆满举行。健康产业公司董事长李来柱、世龙建设公司总经理孟岩出席签约仪式。 签约仪式上,李来...

11月4日,西安交投空间科技发展有限公司董事长李军一行到建设集团座谈交流。建设集团党委书记、董事长赵旭军,党委副书记、总经理田野,党委委员、副总经理张猛出席座谈。 赵旭军对李军一行的到访表示热烈欢迎,双...

为进一步做好2022年度应收账款管理工作,11月4日上午,二二四大队召开2022年度应收账款催收督导会。会议由二二四大队党委副书记、总经理王得权主持,党委委员、副总经理康清清,副总经理、工会主席胡祺及各经营单位相...

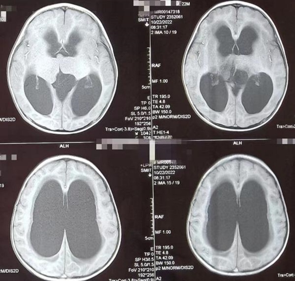
随着神经内镜设备的不断更新和微侵袭技术的快速发展,脑室镜下第三脑室底造瘘术(Endoscopic Third Ventriculostomy,ETV)优势凸显,近日,陕西省核工业二一五医院神经重症监护室在原有内镜技术上再上新台阶,突破“...
