随着神经内镜设备的不断更新和微侵袭技术的快速发展,脑室镜下第三脑室底造瘘术(Endoscopic Third Ventriculostomy,ETV)优势凸显,近日,陕西省核工业二一五医院神经重症监护室在原有内镜技术上再上新台阶,突破“年龄禁区”,为一位一岁多的小孩同步实施脑室镜下第三脑室底造瘘、脑室内脉络丛电灼术、左侧丘脑肿瘤切除术及ommaya囊植入术。
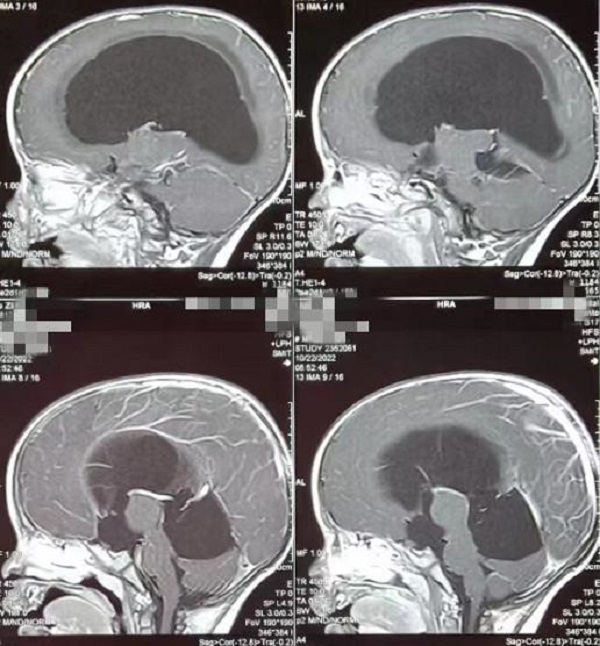
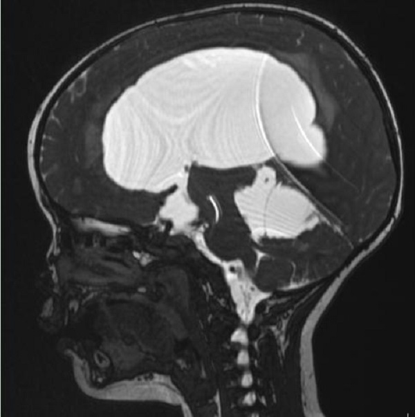
一岁多的赫赫小朋友自出生头颅就比同龄小孩大,近半月来进食后出现呕吐,伴头痛,在当地医院及省内多家医院治疗不见好转,于是来到二一五医院神经重症监护室,因患儿近半月多不能正常进食,入院时精神萎靡,头颅MRI检查提示“脑室系统扩大,双侧脑室额角周围间质水肿,左侧丘脑占位病变,鞍上池及小脑上池扩大”。


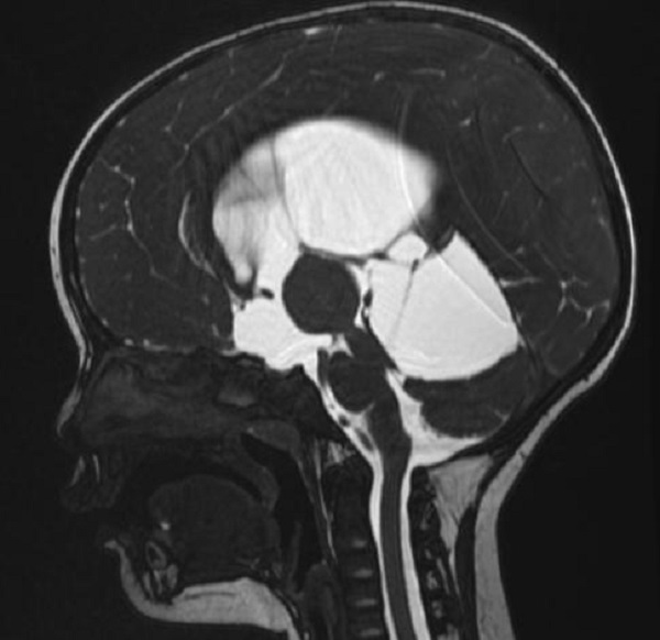
为进一步鉴别脑积水类型,行磁共振3D FIESTA序列检查可见侧脑室扩大明显,中脑导水管中段阻塞、三脑室底受压下陷,诊断梗阻性脑积水。


术前各项准备及评估工作完成后,10月25日,由神经重症监护室谢国强主任医师团队顺利实施脑室镜下第三脑室底造瘘、脑室内脉络丛电灼术、左侧丘脑肿瘤切除术及ommaya囊植入术,操作在脑室镜监视下进行。
手术历时60分钟,先后成功完成了第三脑室底造瘘、脑室内脉络丛电灼术、左侧丘脑肿瘤切除术及ommaya囊植入术,术中出血不多,达到了真正的内镜微侵袭治疗,术后患儿可正常进食,无呕吐,头痛等症状均得到了缓解,目前正在进一步康复治疗中。
神经内镜下第三脑室底造瘘术是目前公认的微创手术,与传统的侧脑室-腹腔分流术相比,脑室镜下第三脑室底造瘘术优势明显,已成为非交通性脑积水的首选方法,有以下优势:1.无分流管等异物植入,可以避免感染、分流管堵塞导致的分流术失败。2.更符合脑脊液循环正常生理状态,可有效维持颅内压力平衡和脑脊液的生理功能,不会产生脑脊液过度引流。同时可以电灼脉络丛,减少脑脊液分泌。3.对于儿童脑积水,不受儿童生长发育的影响,避免多次换管手术的痛苦。4.手术操作相对简单,手术时间较短(一般30分钟左右),手术创伤小,费用低。

陕西省核工业二一五医院神经外科重症监护室始终秉承“全心全意为患者服务”的工作宗旨和“以尽可能小的创伤换取治愈或缓解疾病”的微创理念,已相继开展高血压脑出血、脑垂体瘤、脑积水的神经内镜微创治疗,以期为临床患者制定个体化诊疗方案、解除神经系统疾病困扰。