

为认真贯彻落实第45个全国“质量月”活动的深入开展,2022年9月19日华浩轩公司举办了“质量月活动”专题培训,来自公司各部门60多名干部职工参加了培训。 专题培训强调了“质量月”专题活动的重要性及任务要求,围绕...

为加强公司在环保市场上的项目承揽能力,满足新形势下产业高质量发展要求,全面促进经济稳增长,9月19日,中陕核生态环境有限公司召开了项目研讨会,公司总经理贾佳主持会议,公司董事长张林及公司领导班子成员、各子...

金秋九月、硕果累累。近日,中陕核工业集团综合分析测试公司凭借着雄厚的技术实力、新颖的服务方案及优质高效的服务保障措施,成功中标西安市生态环境局西安市地下水污染防治重点区划定及水质极差(变差)国考点污染...

9月16日,中陕核生态环境有限公司副总经理田浩浩一行到江苏省太仓市政府、常熟市虞山高新技术产业开发区开展合作交流。中陕核生态环境有限公司江苏分公司负责人陪同。 在太仓市,副市长倪嘉臻出席座谈交流会,他对中...

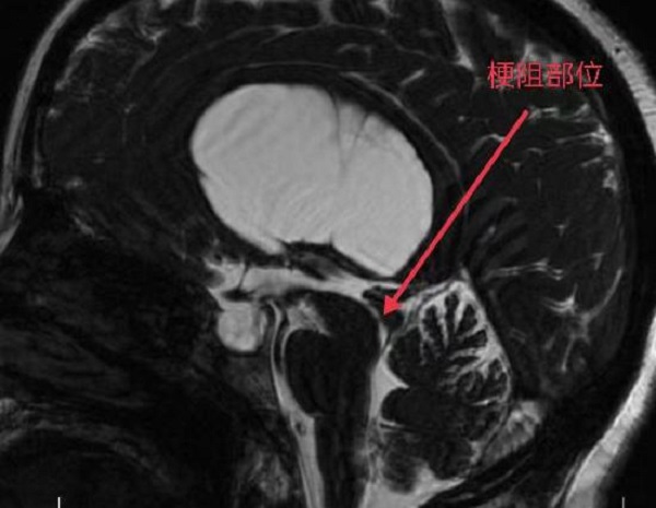
随着神经内镜设备的不断更新和微侵袭技术的快速发展,脑室镜下第三脑室底造瘘术(ETV)优势凸显, 已经成为了梗阻性脑积水的首选。近日,二一五医院神经重症监护室在成功开展脑积水之脑室镜下三脑室底造瘘术后,原有...

9月17日上午,二一五医院核医学科收到一份来自患者和家属的特殊礼物——一块巨大的牌匾上写着“慧眼识病魔,医技高精准”八个大字,作为以诊断为主的医技科室,能得到这样的肯定让科室医护人员倍感鼓舞和感动。 今年...
