

2021年底,新冠疫情突袭,二一五医院在守牢疫情防线的同时,坚持“人民至上、生命至上”,保证来院患者得到及时有效的诊治。 不久前,一名在咸工作的德国籍工程师突然出现呕吐、腹痛等症状,联系到二一五医院普外三病...

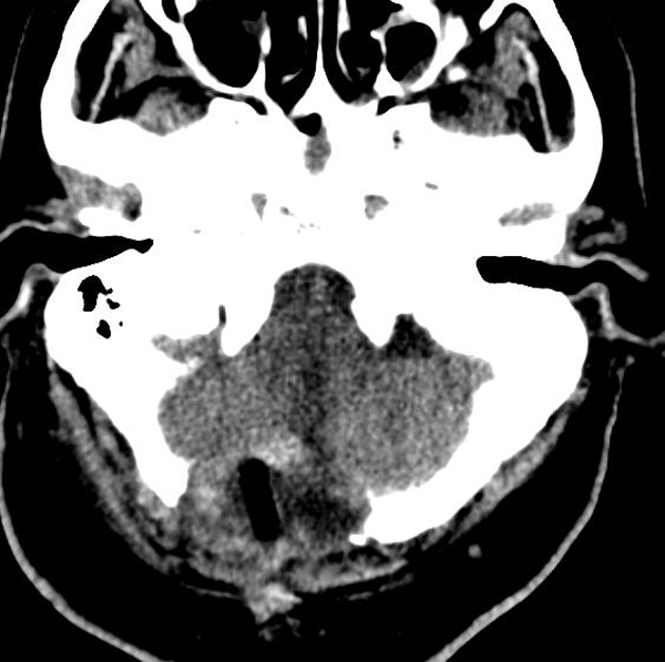
12月27日,陕西省核工业二一五医院成功为一名73岁患者行延髓肿瘤切除术,此次手术为咸阳市首例,填补了咸阳地区级医院独立开展脑干肿瘤切除的技术空白,标志着二一五医院在脑干病变的诊疗技术上再上新台阶。 73岁的刘...

1月17日上午,按照省疫情防控指挥部安排部署,陕西省核工业二一五医院紧急抽调选派重症监护室杨改宁副主任医师赴西安市人民医院支援新冠患者救治工作。这是继支援西安核酸采集、支援西安市急救中心开展院前急救转运工...

自全市实行封闭管控以来,公司下沉支援人员始终坚守在各个工作岗位,冲锋陷阵在社区防疫第一线,用实际行动诠释了中陕核人的责任与担当。为持续加强一线防疫工作,关心关爱防疫期间支援在一线的广大职工,1月15日,公...

近期,西安市疫情防控取得重要成效,为持续巩固抗疫成果,全力支持防疫保供,利君集团公司旗下子公司利君医药集团公司作为防疫药品和防疫物资保供单位,克服物资紧缺、物流不顺等困难,切实提高政治站位,在上级集团...

1月11日,一位妊娠27+3周的孕妇打电话求助二一五医院产科,产科主任郭莉了解孕妇情况后,立即派出科室一名主治医师跟随急诊科前去接回患者,晚上18:00时,郭女士被顺利接到医院,在确认其为黄码患者后,立即收住南院...
