

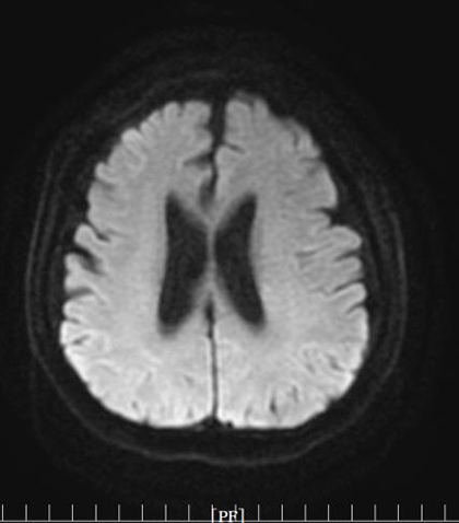
近日,二一五医院神经内科一病区在王建峰主任带领下,顺利完成了医院首例颅内动脉狭窄药球支架 NOVA支架置入术,标志着二一五医院神经介入技术再次实现突破。 近日,65岁的吕大爷突发头晕,随即出现说话含糊不清等症状,...

岁月更替,华章日新,在这生机盎然的五月,迎来了一个神圣而庄严的节日——“国际护士节”。从十九世纪末战争最前沿的南丁格尔,到奔走在抗疫一线的广大护士们,再到日常工作中默默无私奉献的各位同仁,南丁格尔精神一直绵延相传。...

不负韶华守初心,提灯筑梦向未来。为庆祝第113个“5·12”国际护士节,表彰奖励在护理工作岗位上做出突出贡献的先进模范。5月10日下午,陕西省核工业二一五医院隆重召开庆祝“5·12”国际护士节暨表彰大会,院领导班子成员、...

5月11日上午,青海省核工业地质局党委书记、局长李为民一行到工勘院与集团相关单位进行座谈交流。集团公司二一一大队党委书记、董事长任斌,监理公司党支部书记、董事长陈明伟,工勘院党委书记、董事长俞红出席座谈会,...

为进一步强化同业合作,推动资源共享,实现互惠共赢,5月10日,中陕核置业公司总经理王超带队赴招商积余中原公司开展业务交流座谈。会议由招商积余业务发展部经理井燕主持。 座谈会上,招商积余中原公司总经理谷峰首先代表招商积余对中陕核置业公司的来访表示热烈的欢迎。...

5月9日至10日,中国核工业勘察设计协会生态修复技术交流大会在安徽省合肥市召开,工勘院副总经理、总工程师吝哲峰一行4人参加会议并交流学习。 本次大会以“建设美丽中国 核工业人再行动”为主题,旨在巩固拓展学习贯彻习近平新时代中国特色社会主义思想主题教育成果,...
