

1月26日,西安市航天基地统计局召开2023年度统计工作会议。会上表彰了年度统计工作先进单位及先进个人,中陕核宜威新能源有限公司经营管理部部长曹亚莉荣获“统计工作先进个人”荣誉称号。 曹亚莉同志始终坚持习近平...

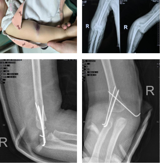
随着微创、麻醉、监护等技术的进步,近日,二一五医院骨科医院小儿骨科·创伤骨科正式开展日间手术,为患者带来了更优质、更便捷的就医体验。从入院、手术、术后恢复仅需24小时。 1月9日下午2点左右,家住乾县,何先生...

1月26日,渭南市自然资源和规划局组织召开全市地质灾害隐患点+风险区“双控”工作培训会,会上,渭南市自然资源和规划局对工勘院通报表扬并赠予感谢信。 近年来,工勘院作为渭南市蒲城县地质灾害“平战结合”技术支...

1月24日上午,韩城市副市长叶鹏,市卫健局局长王东、副局长陈建锋一行到陕西健康集团韩城矿务局总医院调研推进门急诊综合楼项目。陕西健康集团规划发展部副部长李春华,陕西健康集团韩城医疗中心党委书记、主任,总医...

金戈铁马闻战鼓,只争朝夕启征程。为深挖资源潜力,加大产业项目合作,促进公司经营业绩增长。近日,利君集团公司党委书记、董事长、天谷集团执行董事李雪松一行10人赴安康市考察调研、洽谈合作,吹响新一年“大拼经...

1月24日,美国BRENTWOOD公司总裁PETER一行到宜威新能源座谈交流,公司董事长何厚锦对PETER等国际友人的到来表示欢迎并开展座谈。 座谈会上,何厚锦首先就公司“成人达己、冷暖相伴”的经营理念向PETER一行作了介绍,...
