近日,陕西省核工业二一五医院骨科医院成功完成咸阳市首例应用SHD技术治疗儿童股骨颈骺分离手术,此项新治疗技术的成功开展,不仅拓宽了我院骨科微创手术范畴,更标志着我院在小儿骨科微创领域再一次迈上了新的台阶。
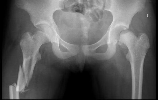
1个多月前,11岁的小张不慎从约20米高的楼上掉下,导致脑挫裂伤、胸部闭合性损伤、脾破裂、左侧髋臼骨折、左侧股骨颈骺分离、右侧股骨粉碎性骨折等多处骨折,情况危急,被紧急送入二一五医院进行救治。入院后,医务人员立即在介入下为其进行脾动脉栓塞,输血、补液等紧急对症治疗,并严密监护生命体征。

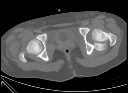
与此同时,小儿骨科·创伤骨科潘建宏主任第一时间带领团队对小张的病情进行了全面检查与评估,经诊断,明确了小张的骨折属于右侧股骨上段粉碎骨折,左侧股骨颈骺分离、Delbet分型Ⅰa型、Salter_ HarrisⅠ型骨骺损伤,骨折的股骨头骺端脱位于髋臼后侧。而这种骨折约占儿童所有骨折的万分之五,非常少见,并且手术难度大、风险大、预后差。
面对如此复杂且严重的伤情,潘主任立即组织全科进行讨论,在深入研究和综合分析,科室团队一致认为,经过股骨头骺端脱位出髋臼后侧,闭合复位不可行,应用外科脱位技术(SHD),既能最大程度保护骨折处血运、又能直视下复位,可吸收螺钉顺行固定后空心加压螺钉逆行加压固定,右侧股骨上段粉碎骨折应用青少年髓内钉固定。于是根据小张的具体情况,科室团队精心制定了一套科学、详尽的治疗方案。
作为一项新兴技术,SHD手术是近年来髋关节外科的里程碑式进步,特别是在保髋方面,是针对髋关节内病变相对“万能”手术入路,在髋关节创伤、髋关节良性病变的处理有极强的优势。SHD在儿童股骨颈头骺分离并脱位治疗中,将微创理念贯穿于治疗全过程, 在保证完全显露手术视野的前提下,最大程度地保护了股骨头最主要的血供来源,便于复位脱位的头骺,顺行+逆行固定,有效增强了固定的可靠性。
虽然这种损伤术后预后较差,但科室团队还是迎难而上,全力以赴。术中每一处血管、每一根神经的保护,每一个骨骺复位固定等细节,都对手术的成功及预后有着至关重要的影响。术前,潘主任团队反复研究手术的每一个步骤,尽力完善手术的每一个步骤与细节,力争做到完美。在小张生命体征平稳、颅内出血稳定后,11月25日,潘建宏主任团队按计划顺利完成手术,术后,在科室的精心照料下,小张顺利康复。
近年来,小儿骨科·创伤骨科紧跟骨科微创专业领域的新理念、新技术,率先在全市开展了多例复杂微创手术,彰显了科室在小儿骨科微创领域卓越的医疗技术实力。小儿骨科·创伤骨科将继续坚守“以人为本、追求卓越”的服务宗旨,致力于不断提升医疗技术和服务品质,全力以赴为患者的健康恢复提供坚实可靠的保障。